患者黄大爷,
因持续咳嗽长达两个月入院就诊。
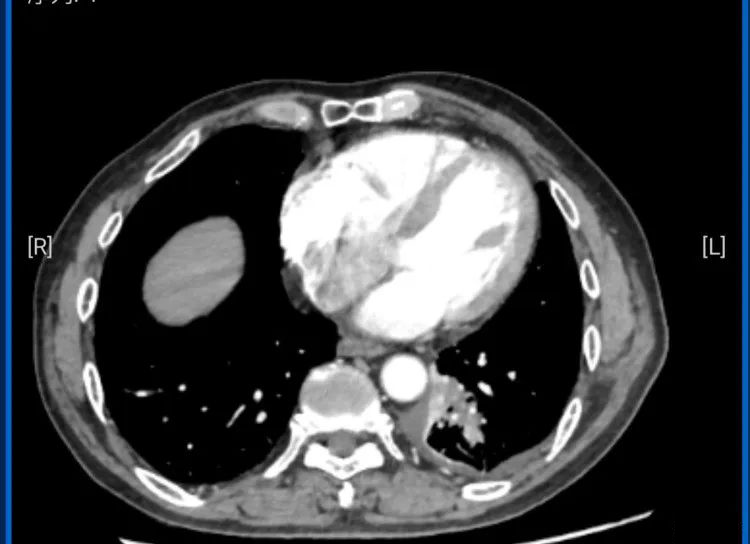
胸部增强CT显示
其左肺下叶支气管闭塞伴远端肺不张,
建议进一步支气管镜检查。

考虑患者病灶位置靠近肺外周,常规气管镜无法到达病灶,为明确肺部阴影性质,呼吸与危重症医学科负责人郄丽琴建议借助超细支气管镜并在超声小探头引导下行支气管镜肺活检术,南昌大学第一附属医院呼吸与危重症医学科谢世光主任做操作指导。
为减轻术中不适感,在麻醉科配合下为患者进行无痛支气管镜检查,整个过程仅20多分钟就完成操作,拍摄清楚,取材满意。

超细支气管镜
联合超声支气管镜小探头,
将外周不可见病变
转为可见病变!
我们在细镜观察下,
将超声小探头送到目标支气管探查,
探查到病变后,
再进行灌洗,刷检,活检!
细镜联合超声小探头减少出血,
真正做到了
精准、高效和安全。

自2023年3月我院引进超声支气管镜以来,呼吸与危重症医学科已完成EBUS- TBNA(超声内镜引导下的经支气管针吸活检)100余例,此次EBUS- TBLB的开展,标志着我院呼吸与危重症医学科介入诊治能力的进一步提高与诊治手段的进一步完善。
接下来,呼吸与危重症医学科将不断开展新技术,努力提高诊疗技术能力、提升医疗服务水平、扩大学科影响力,造福广大百姓。